Trending Now
BÀI MỚI
Bản tin tổng hợp – Tháng 11/2025
Những bệnh nhân suy tim nào sẽ được lợi từ việc sử dụng thuốc ức chế SGLT2?
Giới thiệu
Chất ức chế protein vận chuyển natri–glucose...
TỔNG QUAN CÁC VẤN ĐỀ TIM MẠCH HỌC
Điều trị nội khoa sốc tim: Sử dụng thuốc vận mạch...
BS. NGUYỄN THANH HIỀN
ThS. DS. VŨ THỊ LAN NHI*
BS. TRẦN DUY BÁCH
*Tổ thông tin thuốc, BV Đại học Y Dược TP HCM
I. Giới thiệu
Sốc tim là một hội chứng lâm sàng đặc trưng bởi rối loạn tim tiên phát, dẫn đến giảm tưới máu mô thể hiện trên lâm sàng và sinh hoá...
TỔNG HỢP TỪ NGHIÊN CỨU TRÊN LÂM SÀNG
Mối liên quan giữa biến dạng tổng dọc thất trái với...
BS. NGUYỄN QUỐC VIỆT
PGS.TS.BS NGUYỄN TUẤN VŨ *
* Bộ môn Nội, Đại học Y khoa Phạm Ngọc Thạch
TÓM TẮT
Mở đầu: Ở người bệnh đái tháo đường típ 2 (ĐTĐ típ 2), rối loạn cơ học cơ tim có thể âm thầm xuất hiện từ rất sớm dù phân suất tống máu (EF) còn bảo...
TRƯỜNG HỢP LÂM SÀNG
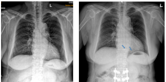
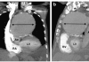
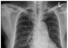
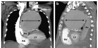
Xử trí dị vật buồng tim: Nhân một trường hợp lâm...
BS.CK2 HUỲNH THANH KIỀU(*)
BS.CK1 PHẠM PHONG LUÂN(*)
PGS.TS. BS PHẠM NGUYỄN VINH(*)
THS. BS. TRẦN THÚC KHANG(*)
BS. NGUYỄN THỊ NGỌC HÂN(**)
(*) Trung tâm Tim mạch, BV Tâm Anh TP. HCM
(**) TT Chẩn đoán hình ảnh, BV Tâm Anh TP. HCM
TỪ VIẾT TẮT
Từ viết tắt
Tiếng Anh
Tiếng Việt
TLIF
Transforaminal Lumbar Interbody Fusion
Phẫu thuật hàn xương liên thân đốt sống...
THÔNG TIN KHOA HỌC
Ngăn ngừa biến cố huyết khối cấp tính ở người có...
BS. CKII. NGUYỄN MẠNH CƯỜNG
Phó khoa Nội tổng hợp
Bệnh viện Đa khoa Quốc tế SIS Cần Thơ
TÓM TẮT
Bệnh nhân mắc bệnh đái tháo đường có nguy cơ cao gặp các biến cố thiếu máu cục bộ sau can thiệp mạch vành qua da (PCI). Mặc dù những tiến bộ trong công nghệ stent đã...
HUẤN LUYỆN NÂNG CAO VÀ CHUYÊN SÂU
Tóm tắt tiêu chuẩn sử dụng phù hợp cấy máy khử...
TS. PHẠM HỮU VĂN
Chương 1: ICD DỰ PHÒNG THỨ PHÁT
1. Giả định và cân nhắc:
■ Những tình huống này đề cập đến các khuyến cáo khi ICD đang được cân nhắc với ý định cấy thiết bị trước khi xuất viện.
■ Giả định không tiến hành nghiên cứu EP trừ khi có chỉ định...
BỒI DƯỠNG SAU ĐẠI HỌC
Một nghiên cứu tổng quan hệ thống về bệnh thận mạn...
NGUYỄN LÊ HIỆP1, LÊ THANH MINH PHƯƠNG1
TRẦN QUỐC BẢO2, VÕ TAM3, TRƯƠNG MINH TÚ4
NGUYỄN THỊ THU HOÀI4 VÀ KIỀU THỊ TUYẾT MAI1,*
1Khoa Quản lý và Kinh tế Dược, Trường Đại học Dược Hà Nội
2Cục Y tế dự phòng, Bộ Y tế
3Hội Tiết niệu – Thận học Việt Nam
4Công ty Trách nhiệm hữu hạn...
Y HỌC THỰC CHỨNG
Phân biệt Odds Ratio & Relative Risk
Tóm tắt: Một trong những hiểu lầm phổ biến trong diễn giải kết quả nghiên cứu lâm sàng là nhầm lẫn giữa odds ratio (OR) và relative risk (RR). Nhiều công trình nghiên cứu lâm sàng đối chứng ngẫu nhiên (randomized controlled trial - RCT) GS. Nguyễn Văn...
DINH DƯỠNG - THỰC PHẨM THUỐC
Cảnh báo thuốc sủi bọt làm tăng nguy cơ bệnh tim...
Theo một nghiên cứu mới nhat, lương muoi trong thuoc sui bọt có thể gây ra cơn đau tim.
Trưởng nhóm nghiên cứu, bác sĩ Jacob George, giảng viên trường Đại học Dundee ở Scot- land cho biết: có nguy cơ rất cao khi dung nạp thuốc sủi bọt hòa tan trong một thời gian...
THỐNG KÊ ỨNG DỤNG TRONG NGHIÊN CỨU TIM MẠCH
BÀI 6: Tóm lược lại về mô hình GAUSS
Tóm tắt: Mô hình Gauss đã từng là hình mẫu chuẩn mực thống trị tư duy khoa học thế kỷ 18 và 19, kết thúc khi thuyết tiến hóa ra đời.
TS. NGUYỄN ANH VŨ
Chủ nhiệm Bộ môn Toán, Đại học Y Dược TPHCM
Bài viết phân tích tiến hóa nhận thức khoa học về mô...
CẬP NHẬT PHÁC ĐỒ ĐIỀU TRỊ
Phác đồ 53 – 2025: Chẩn đoán và điều trị tăng...
Trong năm 2024 Hội Tăng huyết áp châu Âu (European Society of Hypertension – ESH) và Hội Tim châu Âu (European Society of Cardiology – ESC) đưa ra 2 hướng dẫn riêng rẽ về quản lý tăng huyết áp. Dựa trên 2 nguồn này, Phân hội Tăng huyết áp thuộc Hội Tim mạch học...
DANH MỤC
- Tổng quan các vấn đề tim mạch học
- Tổng hợp từ nghiên cứu trên lâm sàng
- Trường hợp lâm sàng
- Thông tin khoa học
- Huấn luyện nâng cao và chuyên sâu
- Bồi dưỡng sau đại học
- Tim mạch cho cộng đồng
- Y học thực chứng
- Dinh dưỡng – Thực phẩm thuốc
- Thống kê ứng dụng trong nghiên cứu tim mạch học
- Hoạt động hội
- Thông tin dành cho cán bộ y tế
- Cập nhật phác đồ điều trị
- Tim mạch học giữa đại dịch COVID-19



































